你的位置 : 首页>正文

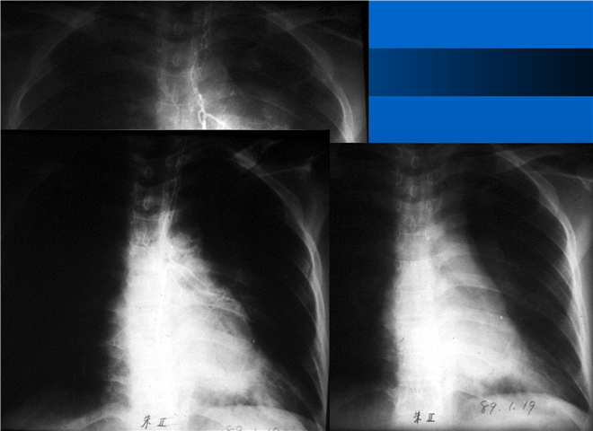
04_肺癌的介入治疗

来源:系统新增时间:2017/03/06 浏览次数:641 下载次数:0 回复数:0

1/
扫一扫关注我们
  • 提交


中德抗癌网

关于我们 加入我们

联系我们

邮箱:1932614031@qq.com
版权所有  苏州星海云贸易有限公司    网站备案号:苏ICP备2022006747号-1 ©2016-2022